Skip to content Skip to sidebar Skip to footer

Was Tun Bei Zyste An Der Wirbelsäule

Zyste An Der Wirbelsaule Mit Seltener Ursache Ein Ratselhafter Patient Der Spiegel

Zyste An Der Wirbelsaule Mit Seltener Ursache Ein Ratselhafter Patient Der Spiegel

Was tun bei zyste an der wirbelsäule. Zysten können aus verschiedener Ursache überall im Körper entstehen. Liegt eine gutartige Zyste vor die keine Beschwerden hervorruft ist keine Behandlung nötig. Erfahren Sie wie Sie Ihrer Ernährung kalziumreiche Nahrungsmittel hinzufügen können um gesunde gesunde Knochen aufzubauen und zu erhalten.

Das Mittel der Wahl zur definitiven Behandlung ist die mikrochirurgische Dekompressionsoperation bei gutem klinischem Ergebnis und schneller Reduktion der Beschwerden sowie ohne relevante Rezidivrate oder perioperativem Risiko. Insbesondere ist es bei der Therapie wichtig die Tiefenmuskulatur anzusprechen. Die Zyste füllt sich jedoch zügig wieder so dass die Beschwerden wieder vorhanden sind.

Eine gesunde Ernährung hilft ebenfalls gegen Zysten da so das Immunsystem gestärkt wird und Sie die Abheilung der Zysten fördern. Eine Synovialiszyste kann nur operativ beseitigt werden. Behandlung von Wirbelsäulenaneurysma Zysten im Fall von kleinen Größen konservativer Betrest einschließlich Zuweisung von NSAIDs Diclofenac vasoaktive Mittel Pentoxifyllin Vitamin B und C wird empfohlen Korsetts Gürtel oder Befestigungs Dressings tragen.

Behandlung einer aneurysmatischen Zyste der Wirbelsäule. Da der Füllungszustand der Wirbelgelenkzyste schwanken kann sind die daraus resultierenden Schmerzen unterschiedlich ausgeprägt. Die sogenannten Musculi multifidii sind winzige Muskeln die der Wirbelsäule Stabilität geben.

Eine Punktion der Zyste macht deshalb auch wenig Sinn. Zysten an der Wirbelsäule. An der Wirbelsäule gibt es zwei wesentliche Zystenarten die so genannten Wurzeltaschenzysten und die Synovialzysten Gelenkszysten.

Die Wirbelsäule beheimatet mit dem Rückenmark und den Spinalnerven lebensnotwendige und äußerst sensible Bestandteile des Nervensystems. Eine Wirbelsäulen-OP kann unter anderem bei Krankheitsbildern wie der Skoliose dem Bandscheibenvorfall der Spinalkanalstenose oder Wirbelgleiten notwendig werden. Allgemein werden als Zysten flüssigkeitgefüllte Gebilde bezeichnet die von einer Membran oder Wand umgeben sind.

Wird die Zyste jedoch zu groß oder verursacht Beschwerden sollte sie entfernt werden. Die Computertomographie CT wird solchen Zysten im Wirbelkanal Der Autor.

Wirbelgelenkzyste Was Tun Therapiemoglichkeiten Jameda

Wirbelgelenkzyste Was Tun Therapiemoglichkeiten Jameda

Gelenkzyste Gemeinschaftspraxis Fur Neurochirurgie

Gelenkzyste Gemeinschaftspraxis Fur Neurochirurgie

Wirbelsaulen Zysten Spinale Zysten Avicenna Klinik

Wirbelsaulen Zysten Spinale Zysten Avicenna Klinik

Prof Dr Christian Woiciechowsky Neurochirurgie Berlin Synovialzysten

Prof Dr Christian Woiciechowsky Neurochirurgie Berlin Synovialzysten

Wirbelsaulen Zysten Spinale Zysten Avicenna Klinik

Wirbelsaulen Zysten Spinale Zysten Avicenna Klinik

Wirbelsaulen Zysten Spinale Zysten Avicenna Klinik

Wirbelsaulen Zysten Spinale Zysten Avicenna Klinik

Synovialzyste An Der Wirbelsaule Ursache Entstehung Und Therapie

Synovialzyste An Der Wirbelsaule Ursache Entstehung Und Therapie

Tumor An Wirbelsaule Oder Ruckenmark Krankenhaus Barmherzige Bruder Regensburg

Tumor An Wirbelsaule Oder Ruckenmark Krankenhaus Barmherzige Bruder Regensburg

Verengung Des Wirbelkanals Krankenhaus Barmherzige Bruder Regensburg

Verengung Des Wirbelkanals Krankenhaus Barmherzige Bruder Regensburg

Die Facettengelenkzyste Ein Seltenes Krankheitsbild Mit Unterschiedlichem Erscheinungsbild Vier Fallberichte Fachportal Fur Wehrmedizin Wehrpharmazie

Die Facettengelenkzyste Ein Seltenes Krankheitsbild Mit Unterschiedlichem Erscheinungsbild Vier Fallberichte Fachportal Fur Wehrmedizin Wehrpharmazie

Arachnoidalzyste Neurochirurgie Inselspital Bern

Arachnoidalzyste Neurochirurgie Inselspital Bern

Spinale Tumoren Tumoren An Der Wirbelsaule Schulthess Klinik

Spinale Tumoren Tumoren An Der Wirbelsaule Schulthess Klinik

Zysten Im Wirbelkanal Wirbelsaulenpraxis Payer Zurich

Zysten Im Wirbelkanal Wirbelsaulenpraxis Payer Zurich

Gelenkzyste Gemeinschaftspraxis Fur Neurochirurgie

Gelenkzyste Gemeinschaftspraxis Fur Neurochirurgie

Woher Spondylarthrose Kommt Und Was Sie Dagegen Tun Konnen

Woher Spondylarthrose Kommt Und Was Sie Dagegen Tun Konnen

Klinik Und Poliklinik Fuer Neurochirurgie Spinale Tumoren

Klinik Und Poliklinik Fuer Neurochirurgie Spinale Tumoren

Knochenzyste Der Wirbelsaule Avicenna Klinik

Knochenzyste Der Wirbelsaule Avicenna Klinik

Klinik Und Poliklinik Fuer Neurochirurgie Spinale Tumoren

Klinik Und Poliklinik Fuer Neurochirurgie Spinale Tumoren

Prof Dr Christian Woiciechowsky Neurochirurgie Berlin Synovialzysten

Prof Dr Christian Woiciechowsky Neurochirurgie Berlin Synovialzysten

Spinalkanalstenose Symptome Therapien

Spinalkanalstenose Symptome Therapien

Lumbale Spinalkanalstenose Wegen Degeneration Der Bandscheibe Operation Durch X Stop Gelenk Klinik De

Lumbale Spinalkanalstenose Wegen Degeneration Der Bandscheibe Operation Durch X Stop Gelenk Klinik De

Ruckenschmerzen Sind Nicht Immer Gutartig Schulthess Klinik

Ruckenschmerzen Sind Nicht Immer Gutartig Schulthess Klinik

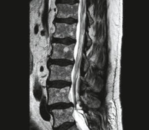
Kernspintomographie Mrt An Der Wirbelsaule Dr Christopoulos

Kernspintomographie Mrt An Der Wirbelsaule Dr Christopoulos

Https Encrypted Tbn0 Gstatic Com Images Q Tbn And9gctz6w2cdngcv6uidkfsrmllmuhqalur3 Rzwkrzv95xxnvcezue Usqp Cau

Https Encrypted Tbn0 Gstatic Com Images Q Tbn And9gctz6w2cdngcv6uidkfsrmllmuhqalur3 Rzwkrzv95xxnvcezue Usqp Cau

Prof Dr Christian Woiciechowsky Neurochirurgie Berlin Wirbelsaulentumoren

Prof Dr Christian Woiciechowsky Neurochirurgie Berlin Wirbelsaulentumoren

Prof Dr Christian Woiciechowsky Neurochirurgie Berlin Zysten An Der Wirbelsaule

Prof Dr Christian Woiciechowsky Neurochirurgie Berlin Zysten An Der Wirbelsaule

Entzundliche Erkrankungen Der Wirbelsaule Wie Sie Entstehen Und Ihre Operation

Entzundliche Erkrankungen Der Wirbelsaule Wie Sie Entstehen Und Ihre Operation

Skoliose Focus Arztsuche

Skoliose Focus Arztsuche

Tarlov Zyste Wikipedia

Tarlov Zyste Wikipedia

Zysten Meine Gesundheit

Zysten Meine Gesundheit

Facettensyndrom Symptome Behandlung Op Joimax

Facettensyndrom Symptome Behandlung Op Joimax

Bandscheibenvorfall Richtig Erkennen Und Behandeln Focus Arztsuche

Bandscheibenvorfall Richtig Erkennen Und Behandeln Focus Arztsuche

Traumatische Verletzungen Der Wirbelsaule Und Ihre Behandlung

Traumatische Verletzungen Der Wirbelsaule Und Ihre Behandlung

Bakerzyste Gelenk Klinik De

Bakerzyste Gelenk Klinik De

Erkrankungen Der Wirbelsaule Ruckenschmerz Facharzte Rhein Main Nahe

Erkrankungen Der Wirbelsaule Ruckenschmerz Facharzte Rhein Main Nahe

Wirbelsaule Aufbau Funktion Und Mogliche Erkrankungen

Wirbelsaule Aufbau Funktion Und Mogliche Erkrankungen

Zyste An Der Wirbelsaule Mit Seltener Ursache Ein Ratselhafter Patient Der Spiegel

Zyste An Der Wirbelsaule Mit Seltener Ursache Ein Ratselhafter Patient Der Spiegel

Prof Dr Christian Woiciechowsky Neurochirurgie Berlin Wurzeltaschenzysten

Prof Dr Christian Woiciechowsky Neurochirurgie Berlin Wurzeltaschenzysten

Klinik Und Poliklinik Fuer Neurochirurgie Spinale Tumoren

Klinik Und Poliklinik Fuer Neurochirurgie Spinale Tumoren

Zyste Wirbelkanal Mit Deutlicher Einengung Des Wirbelkanals Youtube

Zyste Wirbelkanal Mit Deutlicher Einengung Des Wirbelkanals Youtube

Gelenkzyste Gemeinschaftspraxis Fur Neurochirurgie

Gelenkzyste Gemeinschaftspraxis Fur Neurochirurgie

Knochenzyste Der Wirbelsaule Avicenna Klinik

Knochenzyste Der Wirbelsaule Avicenna Klinik

Knochenzyste Ursachen Symptome Behandlung Medlexi De

Knochenzyste Ursachen Symptome Behandlung Medlexi De

Prof Dr Christian Woiciechowsky Neurochirurgie Berlin Synovialzysten

Prof Dr Christian Woiciechowsky Neurochirurgie Berlin Synovialzysten

Steissbein Tut Weh Was Tun Bei Steissbeinschmerzen

Steissbein Tut Weh Was Tun Bei Steissbeinschmerzen

Die Facettengelenkzyste Ein Seltenes Krankheitsbild Mit Unterschiedlichem Erscheinungsbild Vier Fallberichte Fachportal Fur Wehrmedizin Wehrpharmazie

Die Facettengelenkzyste Ein Seltenes Krankheitsbild Mit Unterschiedlichem Erscheinungsbild Vier Fallberichte Fachportal Fur Wehrmedizin Wehrpharmazie

Arachnoidalzyste Neurochirurgie Inselspital Bern

Arachnoidalzyste Neurochirurgie Inselspital Bern

Prof Dr Christian Woiciechowsky Neurochirurgie Berlin Wirbelsaulentumoren

Prof Dr Christian Woiciechowsky Neurochirurgie Berlin Wirbelsaulentumoren

1

1

An der Wirbelsäule gibt es zwei wesentliche Zystenarten die so genannten Wurzeltaschenzysten und die Synovialzysten Gelenkszysten.

Liegt eine gutartige Zyste vor die keine Beschwerden hervorruft ist keine Behandlung nötig. Die Zyste füllt sich jedoch zügig wieder so dass die Beschwerden wieder vorhanden sind. Die Entfernung eines Hämangioms an der Wirbelsäule ist aufwendig. Eine Synovialiszyste kann nur operativ beseitigt werden. Oftmals bildet sie sich einfach von selbst wieder zurück. Hier wird ein abschwellendes entzündungshemmendes und schmerzbetäubendes Mittel direkt an den betroffenen Nervenstrang gespritzt neben der Wirbelsäule. Liegt eine gutartige Zyste vor die keine Beschwerden hervorruft ist keine Behandlung nötig. Eine Wirbelsäulen-OP kann unter anderem bei Krankheitsbildern wie der Skoliose dem Bandscheibenvorfall der Spinalkanalstenose oder Wirbelgleiten notwendig werden. Insbesondere ist es bei der Therapie wichtig die Tiefenmuskulatur anzusprechen.


Es ist selten dass jemand unter 50 Jahren eine Synovialzyste entwickelt. Die Zyste der Wirbelsäule verursacht schwere Symptome aber außerhalb des Rückenmarks extramedullär gelegene meist im Sakralbereich der Wirbelsäule organbezogener neurologischer und körperlicher Untersuchung veranlassen wir bildgebende Untersuchungen12. Behandlung von Wirbelsäulenaneurysma Zysten im Fall von kleinen Größen konservativer Betrest einschließlich Zuweisung von NSAIDs Diclofenac vasoaktive Mittel Pentoxifyllin Vitamin B und C wird empfohlen Korsetts Gürtel oder Befestigungs Dressings tragen. Das Mittel der Wahl zur definitiven Behandlung ist die mikrochirurgische Dekompressionsoperation bei gutem klinischem Ergebnis und schneller Reduktion der Beschwerden sowie ohne relevante Rezidivrate oder perioperativem Risiko. Behandlung einer aneurysmatischen Zyste der Wirbelsäule. Liegt eine gutartige Zyste vor die keine Beschwerden hervorruft ist keine Behandlung nötig. Die Wirbelsäule beheimatet mit dem Rückenmark und den Spinalnerven lebensnotwendige und äußerst sensible Bestandteile des Nervensystems.

Post a Comment for "Was Tun Bei Zyste An Der Wirbelsäule"